Las miocardiopatías se pueden dividir según diversos criterios.La clasificación de 2006 de la American Hearr Association las divide en dos grupos principales: 1) primarias, que incluyen aquellas entidades en las que la enfermedad está limitada exclusiva o predominantemente al músculo cardíaco, y 2) secundarias, en las que el corazón está afectado como parte de un trastorno multiorgánico generalizado. En cada uno de estos dos grupos algunas enfermedades son genéticas, otras, adquiridas y muchas, idiopáticas. Una clasificación más clínica y funcional divide las miocardiopatías en tres grupos:
• Miocardiopatía dilatada.
- Miocardiopatia ventricular derecha arritmogenica.
• Miocardiopatía hipertrófica.
• Miocardiopatía restrictiva.
Miocardiopatía Dilatada:
La miocardiopatía dilatada (MCD) se caracteriza por dilatación cardíaca progresiva con disfunción contráctil (sistólica), habitualmente con hipertrofia asociada. A veces se denomina miocardiopatía congestiva y corresponde al 90% de los casos.Aproximadamente el 25-35% de los casos de MCD tiene una base familiar (genética). Otros se deben a diversas agresiones miocárdicas adquiridas, como exposición a tóxicos (p. ej., alcoholismo crónico), miocarditis y cambios asociados a la gestación. En algunos pacientes se desconoce la causa de la MCD. Estos casos se denominan correctamente "miocardiopatía dilatada idiopática". Es muy probable que muchos casos de esta categoría sean de origen genético. Independientemente de la causa, todos comparten un cuadro clinicopatológico similar.
Morfologia: El corazón suele estar agrandado, pesa mas (el doble o triple de lo normal) y tiene una consistencia blanda, debido a la dilatación de todas las cavidades. Los miocitos estan hipertrofiados con núcleos de mayor tamaño.
Patogenia: Aunque muchas personas con MCD tienen una forma familiar (genética), también se pueden asociar a diversas agresiones adquiridas del miocardio o a la interacción entre la genética y el medio que en definitiva produce un patrón anatomoclinico semejante. Entre ellas figuran las siguientes:
En el 20-50% de los casos, la MCD es familiar y esta originada por alteraciones genéticas hereditarias. Se afectan los genes que codifican proteínas del citoesqueleto expresadas por los miocitos.
Caracteristicas clinicas: Generalmente afecta a personas entre 20 y 50 años. Aparacen signos y sintomas como disnea, facilidad para cansarse y escasa capacidad para hacer ejercisio, dolor o opresion en el pecho, tos, pulso irregular o acelerado, inapetencia.
Caracteristicas histopatologicas:
El aspecto histológico muestra desorganización, hipertrofia extrema y ramificaciones peculiares de los miocitos, así como la fibrosis intersticial característica.
Presentaciones de power point:
http://www.slideshare.net/rosaherrera/miocardiopatias
http://www.slideserve.com/audi/miocardiopatias
Morfologia: El corazón suele estar agrandado, pesa mas (el doble o triple de lo normal) y tiene una consistencia blanda, debido a la dilatación de todas las cavidades. Los miocitos estan hipertrofiados con núcleos de mayor tamaño.
Patogenia: Aunque muchas personas con MCD tienen una forma familiar (genética), también se pueden asociar a diversas agresiones adquiridas del miocardio o a la interacción entre la genética y el medio que en definitiva produce un patrón anatomoclinico semejante. Entre ellas figuran las siguientes:
- Miocarditis ( un trastorno inflamatorio que precede a la aparición de la miocardiopatia, al menos en algunos casos, y a veces esta ocasionada por infecciones víricas).
- Toxicidad ( incluye los efectos secundarios de los antineoplasicos y el alcoholismo crónico).
- Parto.
En el 20-50% de los casos, la MCD es familiar y esta originada por alteraciones genéticas hereditarias. Se afectan los genes que codifican proteínas del citoesqueleto expresadas por los miocitos.
Caracteristicas clinicas: Generalmente afecta a personas entre 20 y 50 años. Aparacen signos y sintomas como disnea, facilidad para cansarse y escasa capacidad para hacer ejercisio, dolor o opresion en el pecho, tos, pulso irregular o acelerado, inapetencia.
Caracteristicas histopatologicas:
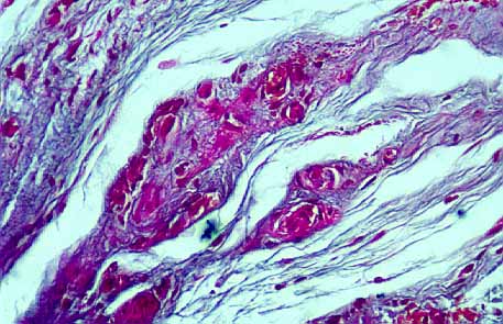
Miocardiopatía dilatada. Los núcleos de las células musculares cardíacas son irregulares, unos con contornos lobulados, otros picnoticos. Hematoxilina-eosina
La degeneracion del miocito se manifiesta principalmente por la vacuolización del citoplasma. Tricrómico de Masson.
La fibrosis, otro de los indices de la miocardiopatia dilatada, muestra un patrón intersticial y perivascular. Tricrómico de Masson.
Miocardiopatía ventricular derecha arritmogénica:
La miocardiopatía arritmogénica del ventrículo derecho (MAVD) es una enfermedad del músculo cardiaco de origen genético, caracterizada por una peculiar afectación clínica que conlleva una inestabilidad eléctrica que puede desencadenar arritmias ventriculares y muerte súbita. Su presentación clínica abarca un espectro que va desde la muerte súbita en jóvenes, hasta las manifestaciones típicas de insuficiencia cardiaca, ya sea de ventrículo derecho, de izquierdo, o de ambos.
Miocardiopatía Hipertrofica:
La miocardiopatía hipertrófica (MCH) (también conocida como estenosis subaórtica hipertrófica idiopática) se caracteriza por hipertrofia miocárdica, llenado diastólico anormal y (en un tercio de los casos) obstrucción al flujo de salida ventricular. Como se describe más adelante, en algunos casos la obstrucción es dinámica y está producida por el velo anterior de la válvula mitral. El corazón tiene paredes gruesas, es pesado y con una contracción excesiva, en un sorprendente contraste con el corazón flácido y poco contráctil de la MCD. En la MCH, habitualmente se conserva la función sistólica, pero el miocardio no se relaja y, por tanto, muestra disfunción diastólica primaria.
Morfologia: Hipertrofia del miocardio, sin dilatación ventricular. Presenta desorganizacion de los haces de miositos y fibrosis intersticial.
Patogenia: Esta originada por mutaciones en cualquiera de los diversos genes que codifican las proteinas del sarcomero.
Caracteristicas clinicas: se caracteriza por una hipertrofia masiva de ventrículo izquierdo, que paradójicamente proporciona un volumen sistólico marcadamente reducido. Este efecto fisiopatológico es una consecuencia directa del trastorno del llenado diastólico y del menor tamaño global de la cavidad. Además, aproximadamente el 25% de los pacientes tiene obstrucción dinámica al flujo de salida del ventrículo izquierdo por el velo anterior de la válvula mitral. La reducción del gasto cardíaco y un aumento secundario de la presión venosa pulmonar producen disnea al esfuerzo, y hay un soplo sistólico de eyección áspero.
Los sintomas mas comunes abarcan: dolor toracico, vertigo, desmayo, fatiga, mareos, disnea.
Caracteristicas histopatologicas:
Miocardiopatía Restrictiva:
La miocardiopatía restrictiva se caracteriza por una disminucion primaria de la distensibilidad ventricular, que da lugar a un deterioro del llenado ventricular durante la diástole (en términos sencillos, la pared es "más rígida"). La función contráctil (sistólica) del ventrículo izquierdo habitualmente no está afectada. Así,el estado funcional se puede confundir con el de la pericarditis constrictiva y el de la miocardiopatía hipertrófica. La miocardiopatía restrictiva puede ser idiopática o asociarse a enfermedades sistémicas que también afectan al miocardio, como fibrosis por radiación, amiloidosis, hemocromatosis, sarcoidosis y las producidas por los errores innatos del metabolismo. Los factores genéticos están definidos con menos claridad en la miocardioparía restrictiva .
Morfologia: Los ventriculos tienen un tamaño normal o estan un poco aumentado, sus cavidades no estan dilatadas y el miocardio mantiene una consistencia firme y no es distensible. A menudo se observa una dilatación biauricular. a nivel microscópico, puede no haber mas que una fibrosis intersticial focal o difusa, de dimensiones minimas o amplias.
Caracteristicas histopatologicas:
Biopsia de ventrículo derecho de una miocardiopatía restrictiva, intensa fibrosis con areas de colagenizacion infiltrado linfocitario leve y vasos neoformados. Tricrómico de Masson.
Fragmento de la imagen anterior en el que se observan células musculares cardiacas en la zona mas externa rodeadas por tractos de tejido fibroso. Tricrómico de Masson.
Presentaciones de power point:
http://www.slideshare.net/rosaherrera/miocardiopatias
http://www.slideserve.com/audi/miocardiopatias






